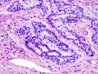
Con un test del DNA si potrà stabilire quale sarà la risposta dei pazienti all’immunoterapia. Si apre così per i malati di tumore la strada a migliori possibilità di cura, più personalizzate.
L’importante scoperta è frutto del lavoro di un gruppo di ricerca internazionale guidato da...










