Articolo
L'ultima arrivata in ordine di tempo è Siracusa, dove la “rivoluzione”, che permette di prenotare, in farmacia, visite specialistiche ambulatoriali ed esami diagnostici in strutture sanitarie pubbliche, partirà il 16 settembre.
Ma a fornire il servizio di Sportello CUP (Centro Unico di Prenotazione), «sono in Italia circa 12.000 presidi di Croce... Continua
Articolo
Il vino rosso è amico dell'intestino, più di altre bevande alcoliche. Aumenta la varietà dei batteri che lo abitano, il cosiddetto microbioma, e aiuta a ridurre i livelli di obesità e colesterolo cattivo.
Lo rileva uno studio del King's College di Londra, pubblicato sulla rivista Gastroenterology, che però punta sulla moderazione: secondo i... Continua
Articolo
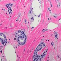
Potrebbe essere a una svolta la lotta contro i tumori causati da una mutazione ereditaria del gene BRCA1, come quelli del seno e dell'ovaio.
I ricercatori dell'Università del Texas a San Antonio hanno scoperto un nuovo modo per fermare i tumori provocati da questa mutazione ereditaria, la stessa per la quale l'attrice Angelina Jolie ha avuto, nel... Continua
Articolo
Futuri abiti anti-zanzara da tessuti ottenuti con fili di grafene, il materiale più sottile del mondo ricavato dalla grafite di cui sono fatte le matite: le analisi indicano che sono una barriera sia fisica sia chimica perché bloccano gli odori che guidano le zanzare verso le loro prede.
Il risultato, pubblicato sulla rivista dell'Accademia... Continua
Articolo
Presenti ovunque, anche nell'acqua del rubinetto, in quella acquistata in bottiglia e in quella di sorgente, le microplastiche sono ancora poco studiate e abbiamo «urgente bisogno di sapere di più sul loro impatto sulla salute».
A lanciare l'appello è l'Organizzazione Mondiale della Sanità (OMS), che ha pubblicato il rapporto “Microplastics in... Continua
Articolo
No all'urina dopo un contatto urticante con una medusa, sì all'acqua calda. No all'utilizzo di una scheda rigida per eliminare i tentacoli, sì alle pinzette.
A far luce su verità e bufale dei “consigli della nonna” è una nuova scheda pubblicata su “Dottore, ma è vero che...?”, la rubrica anti fakenews a cura della Federazione Nazionale degli... Continua
Articolo
Chi ha una dieta basata più sulle proteine vegetali rispetto a quelle animali vive più a lungo.
Lo afferma uno studio pubblicato dalla rivista JAMA Internal Medicine condotto in Giappone, che ha visto in chi ha una dieta sana sia un minor rischio generale di morte che di morte per cause cardiovascolari.
Per la ricerca coordinata dal National... Continua
Articolo
Dopo la Siberia e l’Amazzonia, anche la foresta pluviale del bacino del Congo, la seconda più grande al mondo, rischia di essere colpita da incendi indomabili, come già accaduto nel 2016.
In meno di una settimana - dal 21 al 27 agosto - sono stati documentati oltre 6.902 incendi in Angola e 3.395 incendi nella vicina Repubblica Democratica del... Continua
Articolo
Anche gli studenti possono avere benefici dalla meditazione consapevole: imparare a concentrarsi sul momento presente, infatti, riduce lo stress e migliora l'attenzione, con risultati che si vedono anche in pagella. A indicarlo sono due studi condotti da ricercatori del Massachusetts Institute of Technology (MIT) di Boston.
La consapevolezza, o... Continua
Articolo
Il mar Mediterraneo è minacciato dalle ondate di calore in profondità che fanno aumentare la temperatura fino a due gradi rispetto alla media, nello Ionio e nella parte sud-ovest del bacino, mettendo in pericolo le specie, soprattutto coralli e spugne.
Lo indica la ricostruzione di 35 anni di storia delle ondate di calore nel mar Mediterraneo... Continua
Tipo
Categoria
- Salute (1245) Apply Salute filter
- Ambiente (798) Apply Ambiente filter
- Sociale (612) Apply Sociale filter
- Cultura (245) Apply Cultura filter
- A Tavola (101) Apply A Tavola filter
- Curiosità (84) Apply Curiosità filter
- Focus su A.D.A.S. (21) Apply Focus su A.D.A.S. filter
- Storie di Sicilia (10) Apply Storie di Sicilia filter
autore
- redazione (2668) Apply redazione filter
- Federica Campilongo (75) Apply Federica Campilongo filter
- Andrea Cuscona (72) Apply Andrea Cuscona filter
- Marisa Falcone (58) Apply Marisa Falcone filter
- Federico Bizzini (48) Apply Federico Bizzini filter
- Santo Gulisano (33) Apply Santo Gulisano filter
- Jose Marano (32) Apply Jose Marano filter
- Chezia Alberti (26) Apply Chezia Alberti filter
- Santi Maria Randazzo (26) Apply Santi Maria Randazzo filter
- Guido Bissanti (21) Apply Guido Bissanti filter
- Benedetto Rizzo (15) Apply Benedetto Rizzo filter
- Francesca Santangelo (15) Apply Francesca Santangelo filter
- Riccardo Anastasi (15) Apply Riccardo Anastasi filter
- Sabrina Portale (15) Apply Sabrina Portale filter
- Silvana Militello (15) Apply Silvana Militello filter
- Antonio Percolla (12) Apply Antonio Percolla filter
- Sarah Donzuso (12) Apply Sarah Donzuso filter
- Tiziano Fusella (12) Apply Tiziano Fusella filter
- Anna Arietti (11) Apply Anna Arietti filter
- Julia Karpova (9) Apply Julia Karpova filter
- Mario Guarnera (8) Apply Mario Guarnera filter
- Luca Talamona (7) Apply Luca Talamona filter
- Dino Artale (6) Apply Dino Artale filter
- Raffaella Sacco (6) Apply Raffaella Sacco filter
- Valerio Gullotta (6) Apply Valerio Gullotta filter
- Andrea Maglia (5) Apply Andrea Maglia filter
- Angela Longo (5) Apply Angela Longo filter
- Barbara Corbellini (5) Apply Barbara Corbellini filter
- Maria Rita Ursino (5) Apply Maria Rita Ursino filter
- Paolo Reitano (5) Apply Paolo Reitano filter
- Ramona Tafuri (5) Apply Ramona Tafuri filter
- Antonio Andolfi (4) Apply Antonio Andolfi filter
- Caterina Lenti (4) Apply Caterina Lenti filter
- Cetty Moscatt (4) Apply Cetty Moscatt filter
- Davide Di Paola (4) Apply Davide Di Paola filter
- Enzo Faraone (4) Apply Enzo Faraone filter
- Francesca Romana Golino (4) Apply Francesca Romana Golino filter
- Giulia Leotta (4) Apply Giulia Leotta filter
- Michelle Recupero (4) Apply Michelle Recupero filter
- Adriana Alberghina (3) Apply Adriana Alberghina filter
- Agata Damante (3) Apply Agata Damante filter
- Alessia Costanzo (3) Apply Alessia Costanzo filter
- Angela Strano (3) Apply Angela Strano filter
- Giulia Faraone (3) Apply Giulia Faraone filter
- Serena Bonaccorsi (3) Apply Serena Bonaccorsi filter
- Steven Giuffrida (3) Apply Steven Giuffrida filter
- Epifanio Nicosia (2) Apply Epifanio Nicosia filter
- Gaetano Lo Monaco e Angela Longo (2) Apply Gaetano Lo Monaco e Angela Longo filter
- Luciana Palumbo (2) Apply Luciana Palumbo filter
- Rossella Valenti (2) Apply Rossella Valenti filter








